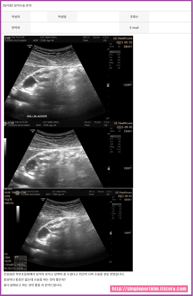
건강검진 복부초음파에서 담석이 보이고 담벽이
좀 두껍다고 진단이 나와 수술을 권유 받았습니다.
증상이나 통증은 없는데 수술을 하는 것이 좋은지?
좀더 살펴보고 하는 것이 좋을 지 문의드립니다.
안녕하세요 김정윤 원장입니다.
담석이 있다고 무조건 담낭을 절제해야 하는 것은 아니고 담낭의 기능을
기대할 것이 없고 인접 장기에 악영향을 주면 담낭 절제 수술을 하게 됩니다.
환자분 담낭은 현재 4/5가 망가져서 기능이 없는 장기 입니다.
통증은 1/5 부분 때문에 없습니다.
꼭 담낭 절제 수술을 받으시길 바랍니다.
본원은 단일공 복강경 담낭 절제 수술을 전문으로 하고 있습니다.
예약제로 운영 되고 있습니다.
또한 여러번 방문을 지양하고 있습니다.
예약 당일 오전에 내원 진료후 꼭 담낭 수술이 필요하다고 판단되면,
오후에 단일공 복강경 담낭 절제 수술을 시행 합니다.
담낭 수술 다음날 퇴원 합니다.
재차 내원이 필요 없게 조치 후 퇴원 하게 됩니다
그리고 수술 2일째 부터 샤워 및 사무직의 경우 출근이 가능합니다.
그간 검사하신 영상 자료를 가지고 오시면 중복 검사를 피하 실 수 있습니다.
본원의 도움이 필요 하시면 제 일정을 관리해 주시는 전담 간호사 선생님과
"근무 시간"에 통화 후 예약 부탁드립니다.
비용 상담또한 통화(메세지, 카톡)로 부탁드립니다.
이남주 간호사 010-****-****(카톡: gstntn)
'온라인상담 > 담낭선근종증' 카테고리의 다른 글
| 국가건강검진에서 담낭선근종증 의심소견을 받아 추적관찰을 해야합니다. (0) | 2025.11.05 |
|---|---|
| 치료법은 담낭 절제 수술 밖에 확인되지 않는데 약물/통원 치료 등의 방법은현재 없는 걸까요? (0) | 2025.11.05 |
| 복부초음파 검진시 담낭선근종증 의증인데 크기가 큰편이라며 큰 병원에 방문해 보라는데... (0) | 2025.10.01 |
| 병원에서 담낭선근종증이 의심된다며 6개월 추척관찰해보자고 하였습니다. (0) | 2025.09.30 |
| 담낭 내 몇몇의 결석(최대 0.9cm)이 관찰되고 복부초음파 검사상 다중반사를 동반한 담낭 저부벽 비후... (1) | 2025.09.25 |

